![]()
![]()
![]()
![]()
![]()
![]()



Q 2期矯正の料金と期間を教えて下さい。
A 治療開始に適した時期は状況により異なります。

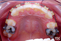
2期矯正に使用する透明ブラケット
1期矯正が終わった後も定期的な管理を受けて、適切な開始時期の見極めが必要です。良くある基本的なケースでは小学校6年生に開始して、歯にブラケットをつけている動的期間が2〜3年です。通院は装置を付ける時には、月に何回か来ていただくことがありますが、通常は月に一度のペースです。費用はこちらをご覧ください。個人差がありますので詳しくはご相談ください。なお骨格性の不正の要素が大きい下顎前突(受け口)などで、外科手術併用の必要があるケースなどでは当院だけでは対応できません。このような場合は多くの優れた臨床経験のある矯正歯科専門医と口腔外科専門医と連携して治療を継続いたします。
Q 出っ歯を治すには矯正と差し歯とどちらがいいですか?
A 矯正歯科では歯が植わっている歯槽骨を含めた歯全体の移動を行います。また顔の下半分や咬み合わせも正常な状態に整えます。矯正のデメリットとしては時間がかかるということです。出っ歯(上顎前突)ですと2〜3年は必要になります。社会人などではそれだけの時間的余裕を作れるかどうかが問題となります。また前歯を後ろに下げるスペースを作る為に小臼歯を抜歯しなくてはならないケースもあります。抜歯することに抵抗感が強い方には適応しません。
一方、審美歯科による差し歯は歯を半分切り取って歯根部だけにしてしまいます。次に神経を取り除き、杭を歯の根管に差し込むことによって歯冠部だけを内側に向かわせます。差し歯のよいところは2〜3ヶ月の短い期間で治療が終わることです。またもともと歯の色や形があまりよくない場合にはセラミックを用いることによって理想の歯の色や形に仕上げることができます。しかし、神経を取り除くことによって歯は死んでしまうので歯の寿命自体は短くなってしまいます。
時間がかかっても、咬み合わせから治し、そしてなるべく前歯の神経を取りたくないのなら矯正治療がよいでしょうし、短期間で歯の色や形を整えたいのなら審美歯科治療がよいでしょう。いずれにしても矯正歯科と審美歯科を両方とも得意にしている歯科医療機関でそれぞれについてしっかりと相談することをお薦めいたします。
Q 矯正歯科治療を考えていますが、矯正専門医と一般歯科と併設のところとどちらがよいでしょうか?
A お医者さんでもいろんな病気を広く何でも相談にのってくれる町の内科の診療所と癌などの病気や治療が難しい症状や珍しい難病をたくさん経験して得意としている専門医の先生や病院があります。よくある風邪や腹痛でたくさんの人が専門医をいきなり受診したらどうなるでしょうか?そこの専門病院は対応能力を超えてパンクしてしまいます。そうなると本当の難病の患者さんが治療を受けられなくなってしまいます。
歯科でも同じです。厚生労働省の調査では全国の学校の児童・生徒の20%以上に何らかの不正咬合が見つかっています。この人たちがすべて数の少ない矯正専門医を受診したらどうなるでしょう?同じように機能不全に陥ってしまいます。矯正専門医は大学病院などで長期間にわたり、難易度の高い症例を多く経験して、矯正歯科の研鑽を積んでいます。矯正専門医は矯正歯科を併設している町のかかりつけ歯科医ではできないような難しい症例の患者さんを得意としています。ここで言う難しい症例とは、骨格性の不正が大きいケースや大臼歯の咬合関係が大きく狂っているケースおよび舌側矯正などです。また、専門医の多くは育成医療機関や顎口腔機能診断施設の認可を受けていますので顎変形症や先天性疾患に原因がある咬合異常(口唇・口蓋裂、ダウン症候群など)は健康保険を利用できる場合があります。これらもまずはかかりつけの歯科医に相談すれば適切な専門医を紹介してくれることでしょう。簡単な矯正治療はかかりつけ歯科医で行い、難しい症例は矯正専門医で行うのが理想的な機能分担です。いちばん大事なことはかかりつけ歯科医(ホームデンティスト)と矯正専門医との連携であると私は考えています。
Q 矯正治療を受けているのですが、税金の医療費控除について教えてください。
A 医療費は還付申告すれば所得金額から控除されます。ある調査によれば平均で1万9000円が還付されたとのことです。お父さんが会社員であるならば、通常会社が税金の過不足を調整しますが、医療費は自分で税務署に申告しないと税金をとりもどせません。矯正治療は高額となる場合が多いので、治療を受けたときには申告の準備をしましょう。
対象となるのは、前年1年間の医療費が家族全員で合計10万円を超えた場合です。ただし上限は200万円までです。
矯正治療費の場合、18才までは無条件で医療費控除の対象となります。しかし成人の場合審美目的の矯正治療は控除の対象となりませんので注意が必要です。ただし診断書によって先天異常や顎変形症による咬合異常や咀嚼障害などの機能障害または顎関節症を治すための矯正治療であることが証明されておれば控除の対象になります。
申告に必要なものは(1)確定申告書または源泉徴収票、(2)交通費や薬代も含めた領収書やレシート、(3)印鑑、(4)還付金振り込み口座です。最寄りの管轄税務署に行き、申請書類に記載し手続きしてください。