実際の治療の流れ
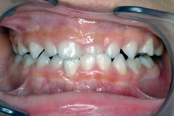
ケース1 上島虎太郎君(仮名)

5才0ヶ月で受け口治療開始
上の前歯が内側に生えています。お父さんも小さい頃に受け口の治療したとのことです。


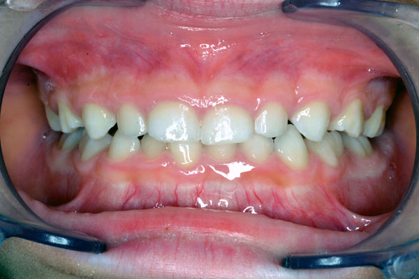
ムーシールドを使用しました。


6才0ヶ月で前歯の反対咬合(受け口)の改善ができました。


その次からは2つ目の装置(バイオブロック)が入り、顎顔面口腔をひとかたまりにして育成誘導を目指します。
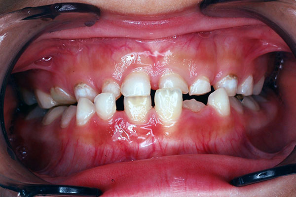
ケース2 佐藤ほたる君(仮名)

6才1ヶ月に治療開始
下の歯が前に出て生えて来てしまいました。


1つ目はこのような筋機能装置を装着します。(プレオルソ)


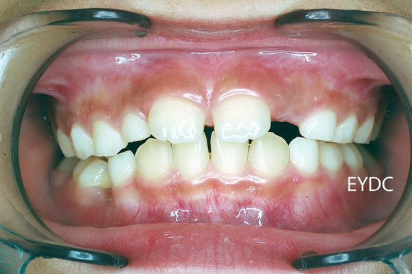
7才9ヶ月時点で大人の歯も反対咬合(受け口)になりました。2つ目を開始します。


前歯をネジの力で押し出して、角度を変える取り外し式の装置に変更します。


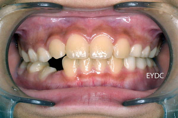
受け口は治りましたが、デコボコしています。仕上げに前歯だけにブレースとワイヤーを装着します。11才2ヶ月です。


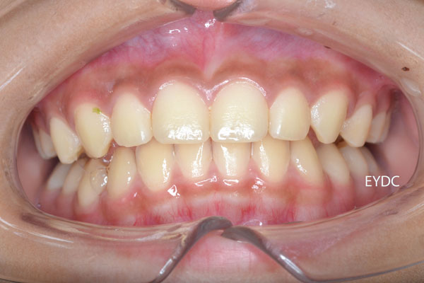
1期矯正の完成です。お母様の熱意の賜物です。ご希望のご家族は2期矯正に進みます。13才0ヶ月でした。歯並び育成期間6年11ヶ月です。
ケース3 柴原未来ちゃん 5才(仮名)

未来ちゃん(5才7ヶ月)は年長さんです。毎晩、膝に乗せて歯のお手入れをしているパパさんから、「きれいな歯並びの女の子になってもらいたい!」とのお話が当院にありました。拝見するとムシバもなく、ピカピカの歯です。ご両親の無限の愛情がビンビン伝わって来ます。


しょう(床)矯正装置を両手で上手にはめています。いい加減にはめたり、噛んで押し込もうとすると、針金が折れてしまいます。


このような取り外しの装置を上下にはめて、成長の誘導をしていきました。これ以外にも、いろいろな形や機能の装置を6個使いました。


8才0ヶ月。上の前歯がハの字型に生えて来ました。でも何の心配もいりません。そのまま継続してください。


9才5ヶ月。だんだん大人の歯が生えそろって来ました。順調です。お菓子やアイスを控えて、歯磨きをがんばりましょうね!


被曝量のきわめて少ないデジタルレントゲンで、歯の生える状況を定期的に観察していきます。とてもきれいに並んできました。11才7ヶ月。


11才7ヶ月。これで完成です。もう装置は付けなくてかまいません。歯並び育成期間は6年でした。熱意をもって通院してくれたお母さんとご本人のがんばりでこんなにきれいになりました。愛くるしくてカワイイお顔をお見せできないのがとっても残念です。この後は経過観察に入ります。










